Технология транскатетерной имплантации аортального клапана впервые внедрена в Казахстане
Новейшая технология сегодня внедрена в Национальном Центре Кардиохирургии Нацмедхолдинга: имплантирован сердечный (аортальный) клапан без вскрытия грудной клетки - через катетер, введенный через бедренную артерию.
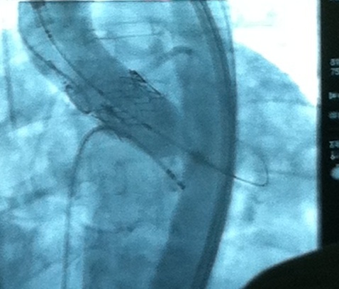
Под контролем рентгена клапан ввели в сердце, затем аорту, зафиксировали, а затем окончательно разместили вместо старого больного клапана. На фотографии – рентгеновское изображение имплантированного клапана, заключенного в хромовый стент.






