Neuroblastoma
Contents
When to Contact a Medical Professional
Neuroblastoma is a malignant (cancerous) tumor that develops from nerve tissue. It usually occurs in infants and children.

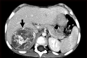
This CT scan of the upper abdomen shows a large tumor (neuroblastoma) on the person's right side (lower left side of picture). The tumor is behind the liver and is pushing the liver forward and may have possibly spread into the liver tissue.
Causes
Neuroblastoma can occur in many areas of the body. It develops from the tissues that form the sympathetic nervous system. This is the part of the nervous system that controls body functions, such as heart rate and blood pressure, digestion, and levels of certain hormones.
Most neuroblastomas begin in the abdomen in the adrenal gland or next to the spinal cord, or in the chest. Neuroblastomas can spread to the bones, such as in the face, skull, pelvis, shoulders, arms, and legs. It can also spread to bone marrow, liver, lymph nodes, skin, and around the eyes (orbits).
The cause of the tumor is unknown. Neuroblastoma is most commonly diagnosed in children before age 5. Each year there are around 700 new cases. The disorder occurs in approximately 1 out of 100,000 children and is slightly more common in boys.
In most patients, the neuroblastoma has already spread when it is first diagnosed.
Symptoms
The first symptoms are usually fever, a general sick feeling (malaise), and pain. There may also be loss of appetite, weight loss, and diarrhea.
Other symptoms depend on the site of the tumor, and may include:
- Bone pain or tenderness (if the cancer spreads to the bones)
- Difficulty breathing or a chronic cough (if the cancer spreads to the chest)
- Enlarged abdomen (from a large tumor or excess fluid)
- Flushed, red skin
- Pale skin and bluish color around the eyes
- Profuse sweating
- Rapid pulse (tachycardia)
Brain and nervous system problems may include:
- Inability to empty the bladder
- Loss of movement (paralysis) of the hips, legs, or feet (lower extremities)
- Problems with balance
- Uncontrolled eye movements or leg and feet movements (called opsoclonus-myoconus syndrome, or "dancing eyes and dancing feet")
Exams and Tests
Signs vary depending on the location of the tumor.
Examination of the abdomen with the hands (palpation) may reveal a lump.
The liver may be enlarged, if the tumor has spread to the liver.
Adrenal gland tumors can cause high blood pressure and a fast heart rate.
Lymph nodes may be swollen.
X-ray or imaging tests are done to locate the main (primary) tumor and to see where it has spread.
These include:
- Bone scan
- Bone x-rays
- Chest x-ray
- CT scan of chest and abdomen
- MRI scan of chest and abdomen
Other tests include:
- Biopsy of tumor
- Bone marrow biopsy
- CBC showing anemia or other abnormality
- Coagulation studies, erythrocyte sedimentation rate
- Hormone tests (blood tests to check levels of hormones such as epinephrine and other catecholamines)
- MIBG scan
- Urine 24-hour test for catecholamines, homovanillic acid (HVA), and vanillymandelic acid (VMA)
Treatment
Treatment varies depending on:
- The location of the tumor
- How much and where the tumor has spread
- The patient's age
In certain cases, surgery alone is enough. Often, though, other therapies are needed. Anticancer medications (chemotherapy) may be recommended if the tumor has spread. Radiation therapy may also be used.
High-dose chemotherapy, followed by autologous stem cell transplantation, is being studied for use in children with very high-risk tumors.
Support Groups
The stress of illness can be eased by joining a cancer support group. Sharing with others who have common experiences and problems and help you and your child not feel alone.
Outlook (Prognosis)
The outcome varies. In very young children with neuroblastoma, the tumor may go away on its own, without treatment. Or, the tissues of the tumor may mature and develop into a non-cancerous (benign) tumor called a ganglioneuroma, which can be surgically removed. In other cases, the tumor spreads quickly.
Response to treatment also varies. Treatment is often successful if the cancer has not spread. If it has spread, neuroblastoma is harder to cure. Younger children often do better than older children.
Tumors with certain genetic characteristics may be harder to cure.
Children treated for neuroblastoma may be at risk of getting a second, different cancer in the future.
Possible Complications
- Spread (metastasis) of the tumor
- Damage and loss of function of involved organ(s)
- Kidney failure
- Liver failure
- Loss of blood cells produced by the bone marrow
- Decreased resistance to infection
- Other organ system failures
When to Contact a Medical Professional
Call your health care provider if your child has symptoms of neuroblastoma. Early diagnosis and treatment improves the chance of a good outcome.
