Aphthous Stomatitis (Canker Sores)
Canker sores (recurrent aphthous stomatitis, RAS) are among the most common of oral conditions and are experienced by more than half of the population. These small, round or oval, painful yellowish sores often first appear in adolescence.
They usually affect the softer parts of the mouth that move, such as the tongue, soft palate, cheeks, and lips. This condition is recurrent because these sores usually will heal on their own but then reappear in the same or new locations after a period of time. In some severe cases, old ulcers may be healing while new ones appear.
There are three main forms:
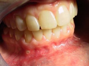
Minor Aphthous Stomatitis: this is the form that affects more than 80% of canker sore sufferers. The sores are usually small (less than 1 centimeter in diameter), heal in about a week, and do not cause scarring.
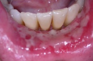
Major Aphthous Stomatitis: this more severe form affects approximately 15% of patients with canker sores. These sores often last two weeks or more and are typically over 1 centimeter in diameter. They can be extremely painful and often heal with scarring.
Herpetiform Aphthous Stomatitis: This form of the condition is uncommon, occurring in less than 5% of people with canker sores. They occur as clusters of very small ulcers (less than a millimeter in some cases) that sometimes merge together to form larger ulcers. They usually heal in just over one week.
Most of the time, canker sores are self-limiting. This means that they will go away even without treatment. The cause of canker sores is not known. However, in some instances, they can be a sign of other conditions affecting the body (such as a gastrointestinal disease). Be sure to tell your doctor if you are experiencing fatigue, abdominal pain, fever, eye discomfort, or have rashes or sores on other parts of your body.

A Typical Minor Aphthous Ulceration

More Extensive Major Ulcerations
QUESTIONS AND ANSWERS ABOUT CANKER SORES
Q: Is the condition contagious? Did I catch it and can I give it to anyone else?
A: No. This condition is not like herpes and cannot be transmitted, even if you have open sores.
Q: How can I tell the difference?
A: The location is a good clue. Your doctor may recommend performing culture testing or a biopsy to be certain.
Q: Then what causes canker sores?
A: No one really knows, but it is thought to be caused by an immune system malfunction that causes white blood cells to temporarily attack the mucosal cells lining the mouth. Sometimes they are a form of allergic reaction to food ingredients or components of toothpastes or mouthwash. Canker sores can also be associated with some systemic conditions such a Crohn’s disease and nutritional deficiencies.
Q: How can I tell if my canker sores are related to an allergy or systemic condition?
A: Your doctor can often make this diagnosis after carefully assessing your medical history. Sometimes simple blood tests may be required to see if you have a nutritional deficiency, or your doctor may suggest allergy testing.
Q: Is there a cure for canker sores?
A: Not yet. However, therapies are available to decrease pain, shorten the time of the ulcers, and even reduce how often they occur. These range from creams applied to the sores to stronger systemic medications.
Q: Can anything prevent them?
A: The best way to attempt preventing them is to keep an ulcer diary. By writing down when you have outbreaks of canker sores, you may find that there are connections between your diet, toothpaste, or lifestyle. You should share this information with your doctor as it may help him or her develop a more effective treatment strategy.
Q: What about “canker sore toothpastes”?
A: These lack a detergent known as SLS (sodium lauryl sulfate). In some patients, using an SLS free toothpaste reduces the frequency of outbreaks.
Q: When should I talk to my dentist about my Canker Sores?
A: If you experience more than three canker sore outbreaks per month, if you are never without an ulcer, or if you have any symptoms listed in this sheet or feel that there could be other factors connected to your canker sores
Q: I see many canker sore medicines in the store. Is one better than the other?
A: While there are numerous products marketed to treat canker sores, there is no perfect product and there are few well designed trials comparing the efficacy of these products against each other. A product that works well for you may not work well for someone else. You should advise your dentist of any products you have used or are currently using to treat your canker sores. A summary of commonly recommended therapeutic agents is discussed in the Patient Information Sheet “Treatment of Canker Sores”
