Острый панкреатит
Содержание
Когда обращаться за врачебной помощью
Общая информация
Острый панкреатит – это острое воспалительное заболевание поджелудочной железы.

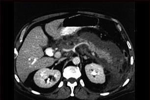
Данное изображение- это компьютерная томография верхней части брюшной полости, на которой четко диагностируется воспаление и отечность тканей поджелудочной железы, вызванной острой инфекцией (панкреатит).
Причины
Поджелудочная железа располагается позади желудка и вырабатывает пищеварительные (энзимы) и гормональные ферменты, такие как инсулин и глюкагон. Активные энзимы (пищеварительные ферменты) поступают в просвет тонкой кишки и являются важным звеном в процессе переваривания пищи.

Если ферменты активизируются в поджелудочной железе, то происходит самопереваривание тканей поджелудочной железы, что приводит к отеку, кровоизлиянию, повреждению поджелудочной железы и ее кровеносных сосудов.
Острый панкреатит чаще возникает у мужчин, чем у женщин. Отдельные заболевания, оперативные вмешательства, пагубные привычки и неправильное питание увеличивают риск развития данного заболевания.
Заболевание чаще всего вызвано алкоголизмом и злоупотреблением алкоголем (в США -70% случаев). Также на развитие заболевания оказывает влияние генетический фактор. В других случаях причина остается неизвестной.
Другие заболевания, вызывающие панкреатит:
- Аутоиммунные проблемы (если иммунная система наносит удар организму)
- Блокировка (закупорка) протока поджелудочной железы или общего желчного протока, по которым выделяются ферменты поджелудочной железы
- Повреждение протоков или поджелудочной железы во время хирургического вмешательства
- Повышение уровня триглицеридов (жирных кислот) в крови (гипертриглицеридемия)
- Повреждение поджелудочной железы при несчастном случае
Дополнительные причины:
- Осложнения муковисцидоза
- Гемолитико- уремический синдром
- Гиперпаратиреоз
- Болезнь Кавасаки
- Синдром Рея
- Употребление определенных лекарственных препаратов (особенно, эстрогены, кортикостероиды, мочегонные препараты, такие как тиазид и имуран)
- Вирусные инфекции, включая паротит (свинку), вирусы Коксаки, микоплазменные пневмонии и кампилобактерии.
Симптомы
Главный и основной симптом панкреатита – острая боль в левом подреберье или в середине живота.
Боль:
- Усиливается через несколько минут после употребления жирной пищи или напитков
- Постоянная и продолжается в течение нескольких дней
- Усиливается в положении, лежа на спине
- Может иррадиировать (распространяться) в спину или в область ниже левой лопатки
У людей с острым панкреатитом наблюдается лихорадка, тошнота, рвота и повышенное потоотделение.
Дополнительные симптомы, проявляющиеся при этом заболевании:
- Стул землистого цвета
- Повышенное газообразование
- Отрыжка
- Расстройство пищеварения
- Умеренное пожелтение кожных покровов и склер (желтуха)
- Кожная сыпь или язвочки
- Вздутие живота
Диагностика
При физикальном осмотре врач может обнаружить:
- Чувство болезненности в брюшной полости или припухлость
- Лихорадку
- Снижение давления
- Учащенное сердцебиение
- Учащенное дыхание
Лабораторные анализы показывают количество выделяемых ферментов поджелудочной железы:
- Повышение уровня амилазы крови
- Повышение уровня липазы сыворотки крови
- Повышения уровня амилазы в моче
Дополнительные лабораторные анализы помогают диагностировать осложнения панкреатита:
- Общий анализ крови (ОАК)
- Полная ферментативная панель крови
Другие методы обследования, показывающие воспаление поджелудочной железы:
- Компьютерная томография брюшной полости
- МРТ брюшной полости
- Ультразвуковое исследование брюшной полости
Лечение
Зачастую для проведения лечения требуется госпитализация:
- Лекарственные препараты, купирующие болевой приступ
- Внутривенные вливание растворов
- Ограничение употребления пищи для уменьшения нагрузки на поджелудочную железу
Иногда через нос или рот устанавливается назогастральный зонд (трубка), через который удаляется желудочное содержимое. Данный метод применяется в случае, если рвота или сильная боль ничем не купируется, или возможно развитие пареза кишечника (паралич кишечника). Зонд устанавливается на протяжении от 1 - 2 дней до 1 - 2 недель.
Лечение заболевания предотвращает возникновение повторных болевых приступов.
В некоторых случаях необходимо:
- Откачать жидкость вокруг поджелудочной железы или внутри нее
- Удалить желчные камни
- Освободить проток поджелудочной железы
В особо тяжелых случаях, требуется оперативное вмешательство, для удаления некротизированного или пораженного участка ткани поджелудочной железы.
После улучшения состояния противопоказаны употребление алкогольных напитков, жирной пищи и курение.
Прогноз заболевания
Симптомы заболевания купируются в течение недели. Однако, возможен переход заболевания в более тяжелую форму, опасную для жизни.
Уровень смертности возрастает при:
- Геморрагическом панкреатите
- Нарушении работы печени, сердца или почек
- Некротизирующем панкреатите
Вероятность рецидива панкреатита зависит от причин возникновения заболевания и эффективности лечения.
Возможные осложнения
- Острая почечная недостаточность
- Острый респираторный дистресс-синдром (ОРДС)
- Накопление жидкости в брюшной полости (асцит)
- Абсцессы и кисты в поджелудочной железе
- Сердечная недостаточность
- Снижение артериального давления
Помните, что повторные эпизоды острого панкреатита могут привести к хроническому панкреатиту.
Когда обращаться за врачебной помощью
Сообщите своему врачу, если:
- Вас беспокоят сильные, постоянные боли в животе
- У Вас проявляются другие симптомы острого панкреатита
Профилактика
Вы можете уменьшить риск развития новых или повторных эпизодов панкреатита, придерживаясь правил, предотвращающих заболевание:
- Не применяйте аспирин для лечения лихорадки у детей, особенно, если у них возможна вирусная болезнь, чтобы предотвратить синдром Рея.
- Не злоупотребляйте алкоголем.
- Проводите вакцинацию детей от паротита (свинки) и других детских болезней (см.: Иммунизация - общий обзор).
